TO TOP

Asymmetrical hippocampal networks

2015-03-26

Guentuerkuen2015 Asymmhippnetw

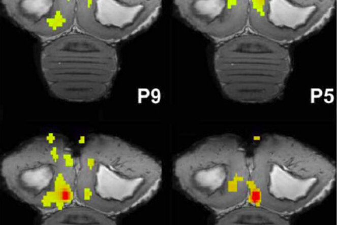
Functional hemispheric asymmetry is a common feature of brain organization, yet little is known about how hemispheric dominance is implemented at the neural level. Birds have a strong left-hemisphere asymmetry in navigation. Since the hippocampus plays a key role in spatial orientation, a team of biopsychologists from Bochum as well as Belgian and US American neuroscientists set out to test, if left and right hippocampi have asymmetrically organized hippocampal networks in birds. For this to reveal, they relied on resting state fMRI analyses in awake and sedated birds in scanners with extremely high magnetic field strengths. Indeed, the could show that following seeding in either an anterior or posterior region of the hippocampal formation of homing pigeons and starlings, the emergent functional connectivity maps are consistently larger following seeding of the left hippocampus. Left seedings were also more likely to result in networks that extend to the contralateral hippocampus and outside the boundaries of the hippocampus. The data support the hypothesis that broader functional connectivity is one neural-organizational property that confers, with respect to navigation, a functional dominance to the avian left hippocampus.

Jonckers, E., Güntürkün, O., De Groof, G., van der Linden, A., Bingman, V. P., Network structure of functional hippocampal lateralization in birds, Hippocampus, 2015, 25: 1418–1428.

Guentuerkuen2015 Asymmhippnetw

Functional hemispheric asymmetry is a common feature of brain organization, yet little is known about how hemispheric dominance is implemented at the neural level. Birds have a strong left-hemisphere asymmetry in navigation. Since the hippocampus plays a key role in spatial orientation, a team of biopsychologists from Bochum as well as Belgian and US American neuroscientists set out to test, if left and right hippocampi have asymmetrically organized hippocampal networks in birds. For this to reveal, they relied on resting state fMRI analyses in awake and sedated birds in scanners with extremely high magnetic field strengths. Indeed, the could show that following seeding in either an anterior or posterior region of the hippocampal formation of homing pigeons and starlings, the emergent functional connectivity maps are consistently larger following seeding of the left hippocampus. Left seedings were also more likely to result in networks that extend to the contralateral hippocampus and outside the boundaries of the hippocampus. The data support the hypothesis that broader functional connectivity is one neural-organizational property that confers, with respect to navigation, a functional dominance to the avian left hippocampus.

Jonckers, E., Güntürkün, O., De Groof, G., van der Linden, A., Bingman, V. P., Network structure of functional hippocampal lateralization in birds, Hippocampus, 2015, 25: 1418–1428.